JavaScript is disabled in your browser. Please enable JavaScript to view this website.

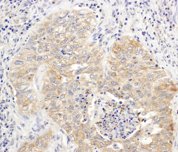
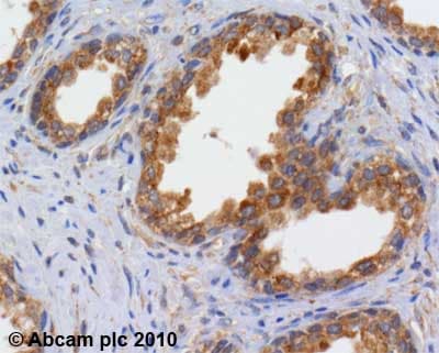
Anti-RICTOR antibody(ab70374)

$undefined

Anti-RICTOR antibody(ab70374)

Anti-RICTOR antibody(ab70374)

Anti-RICTOR antibody(ab70374)

Anti-RICTOR antibody(ab70374)

Rabbit Polyclonal RICTOR antibody. Suitable for IHC-P, IP, Flow Cyt, WB and reacts with Human, Mouse samples. Cited in 16 publications. Immunogen corresponding to Synthetic Peptide within Human RICTOR.
Specifications
Shipped At Conditions Blue Ice
Appropriate Long term Storage Conditions Store at -20°C.
Clonality Polyclonal
Applications Flow Cyt, IHC-P, IP, WB
Species Reactivity Human, Mouse
Isotype IgG