JavaScript is disabled in your browser. Please enable JavaScript to view this website.

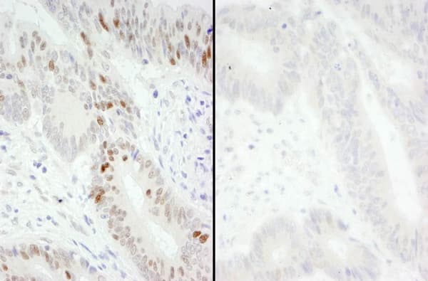
Anti-MCM2 (phospho S40 + S41) antibody(ab70371)

$undefined

Anti-MCM2 (phospho S40 + S41) antibody(ab70371)

Anti-MCM2 (phospho S40 + S41) antibody(ab70371)

Anti-MCM2 (phospho S40 + S41) antibody(ab70371)

Rabbit Polyclonal MCM2 phospho S40 + S41 antibody. Suitable for IHC-P, WB, Flow Cyt (Intra) and reacts with Human samples. Cited in 5 publications. Immunogen corresponding to Synthetic Peptide within Human DNA replication licensing factor MCM2 phospho S40 + S41.
Specifications
Shipped At Conditions Blue Ice
Appropriate Long term Storage Conditions Store at -20°C.
Clonality Polyclonal
Applications Flow Cyt (Intra), IHC-P, WB
Species Reactivity Human
Isotype IgG