JavaScript is disabled in your browser. Please enable JavaScript to view this website.

Anti-53BP1 (phospho S25) antibody(ab70323)

$undefined

Anti-53BP1 (phospho S25) antibody(ab70323)

Anti-53BP1 (phospho S25) antibody(ab70323)

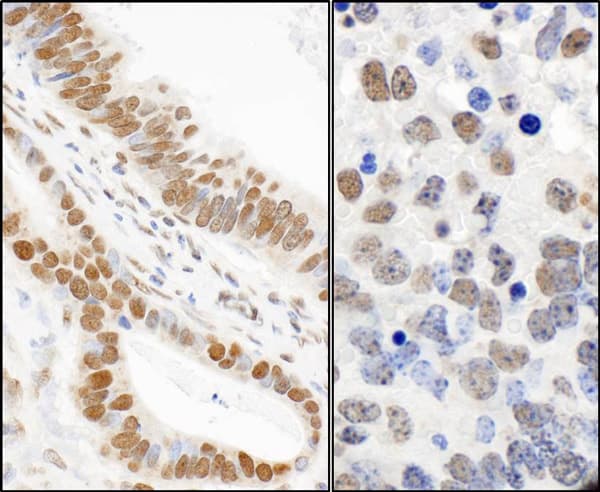
Rabbit Polyclonal 53BP1 phospho S25 antibody. Suitable for IHC-P, WB and reacts with Mouse, Human samples. Cited in 5 publications. Immunogen corresponding to Synthetic Peptide within Human TP53BP1 phospho S25.
Specifications
Shipped At Conditions Blue Ice
Appropriate Long term Storage Conditions Store at -20°C.
Clonality Polyclonal
Applications IHC-P, WB
Species Reactivity Human, Mouse
Isotype IgG