JavaScript is disabled in your browser. Please enable JavaScript to view this website.

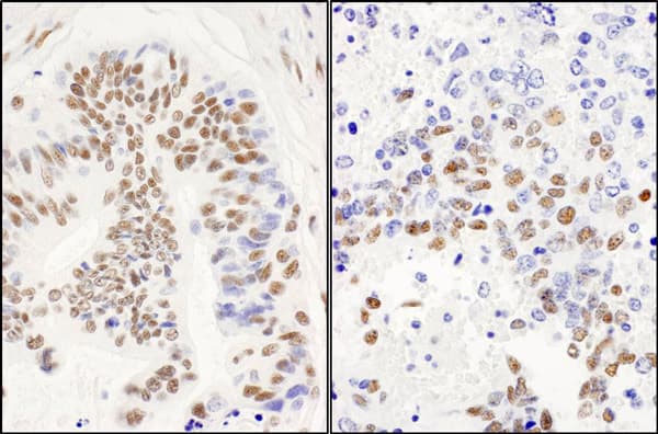
Anti-DBC-1 antibody(ab70239)

$undefined

Anti-DBC-1 antibody(ab70239)

Anti-DBC-1 antibody(ab70239)

Rabbit Polyclonal DBC-1 antibody. Suitable for IHC-P, WB and reacts with Human samples. Cited in 3 publications. Immunogen corresponding to Synthetic Peptide within Human Cell cycle and apoptosis regulator protein 2 aa 1-50.
Specifications
Shipped At Conditions Blue Ice
Appropriate Long term Storage Conditions Store at -20°C.
Clonality Polyclonal
Applications IHC-P, WB
Species Reactivity Human
Isotype IgG