JavaScript is disabled in your browser. Please enable JavaScript to view this website.

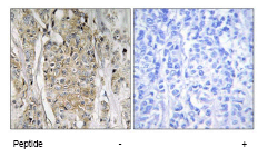
Anti-ErbB2 / HER2 antibody(ab69647)

$undefined

Anti-ErbB2 / HER2 antibody(ab69647)

Anti-ErbB2 / HER2 antibody(ab69647)

Anti-ErbB2 / HER2 antibody(ab69647)

Rabbit Polyclonal ErbB2 / HER2 antibody. Suitable for WB, IHC-P, ICC/IF and reacts with Human samples. Immunogen corresponding to Synthetic Peptide within Human ERBB2.
Specifications
Shipped At Conditions Blue Ice
Appropriate Long term Storage Conditions Store at -20°C.
Clonality Polyclonal
Applications ICC/IF, IHC-P, WB
Species Reactivity Human
Isotype IgG