JavaScript is disabled in your browser. Please enable JavaScript to view this website.

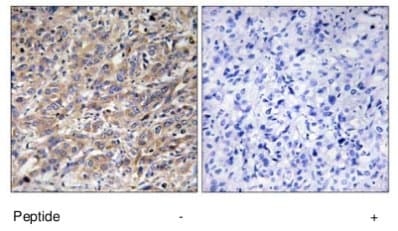
Anti-COX17 antibody(ab69611)

$undefined

Anti-COX17 antibody(ab69611)

Anti-COX17 antibody(ab69611)

Anti-COX17 antibody(ab69611)

Rabbit Polyclonal COX17 antibody. Suitable for WB, IHC-P, ICC/IF and reacts with Human samples. Cited in 5 publications. Immunogen corresponding to Synthetic Peptide within Human COX17.
Specifications
Shipped At Conditions Blue Ice
Appropriate Long term Storage Conditions Store at -20°C.
Clonality Polyclonal
Applications ICC/IF, IHC-P, WB
Species Reactivity Human
Isotype IgG