JavaScript is disabled in your browser. Please enable JavaScript to view this website.

Anti-PDGFR beta antibody [42G12](ab69506)

$undefined

Pdgfr Beta Antibody 42g12 Ab69506  Elisa Img180983

Pdgfr Beta Antibody 42g12 Ab69506  Flow Cytometry Img39378

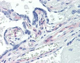
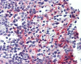
Pdgfr Beta Antibody 42g12 Ab69506  Immunohistochemistry Formalin Pfa Fixed Paraffin Embedded Sections Img121037

Pdgfr Beta Antibody 42g12 Ab69506  Immunohistochemistry Formalin Pfa Fixed Paraffin Embedded Sections Img87161

Pdgfr Beta Antibody 42g12 Ab69506  Western Blot Img1717

Anti-PDGFR beta antibody [42G12] ab69506 is a mouse monoclonal antibody that is used in PDGFR beta western blotting, IHC and flow cytometry. Suitable for human and mouse samples.

- Antibody clone 42G12 has been tried and trusted by researchers since 2008 and is cited in >60 publications
- Specificity confirmed with PDGFRB knockout cell line validation
Specifications
Shipped At Conditions Blue Ice
Appropriate Long term Storage Conditions Store at -20°C.
Clonality Monoclonal
Applications Flow Cyt, I-ELISA, IHC-P, WB
Species Reactivity Human, Mouse
Isotype IgG1