JavaScript is disabled in your browser. Please enable JavaScript to view this website.

Anti-ALK-1 antibody(AB68703)

$undefined

Alk 1 Antibody Ab68703  Immunocytochemistry Immunofluorescence Img123613

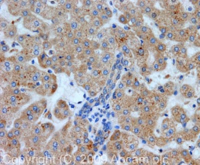
Alk 1 Antibody Ab68703  Immunohistochemistry Formalin Pfa Fixed Paraffin Embedded Sections Img74156

Alk 1 Antibody Ab68703  Immunoprecipitation Img20373

Alk 1 Antibody Ab68703  Western Blot Img87841

Rabbit Polyclonal ALK-1 antibody. Suitable for IHC-P, IP, WB, ICC/IF and reacts with Human samples. Cited in 3 publications.
Specifications
Shipped At Conditions Blue Ice
Appropriate Long term Storage Conditions Store at -20°C.
Clonality Polyclonal
Applications ICC/IF, IHC-P, IP, WB
Species Reactivity Human
Isotype IgG