JavaScript is disabled in your browser. Please enable JavaScript to view this website.

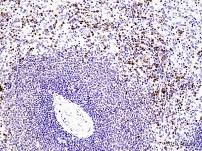
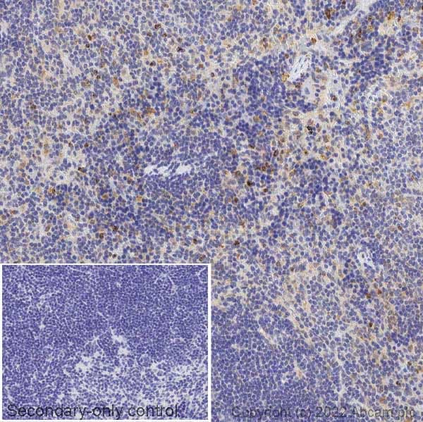
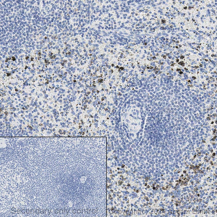
Anti-Neutrophil Elastase antibody(AB68672)

$undefined

Anti-Neutrophil Elastase antibody(AB68672)

Anti-Neutrophil Elastase antibody(AB68672)

Anti-Neutrophil Elastase antibody(AB68672)

Anti-Neutrophil Elastase antibody(AB68672)

Anti-Neutrophil Elastase antibody(AB68672)

Anti-Neutrophil Elastase antibody ab68672 is a rabbit polyclonal antibody that is used in Neutrophil Elastase IHC. Suitable for human and mouse samples.

- Tried and trusted by researchers since 2009
Specifications
Shipped At Conditions Blue Ice
Appropriate Long term Storage Conditions Store at -20°C.
Clonality Polyclonal
Applications IHC-P, WB
Species Reactivity Human, Mouse
Isotype IgG