Western blot - Goat Anti-Mouse IgG H&L (HRP) (ab6789)
All lanes:
Western blot - Anti-GAPDH antibody [mAbcam 9484] - Loading Control (ab9484) at 0.5 µg/mL
All lanes:
HeLa cell lysate
Secondary
All lanes:
Western blot - Goat Anti-Mouse IgG H&L (HRP) (ab6789) at 1/5000 dilution
Developed using the ECL technique.
Predicted band size: 36 kDa
Exposure time: 30s

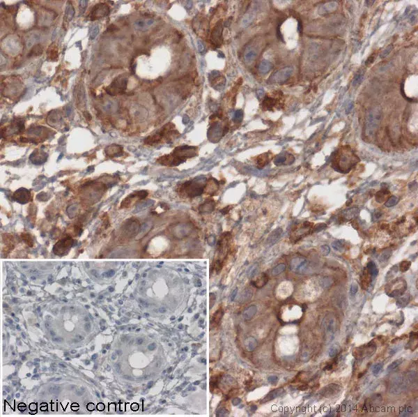
Immunohistochemistry (Formalin/PFA-fixed paraffin-embedded sections) - Goat Anti-Mouse IgG H&L (HRP) (ab6789)
IHC image of beta actin staining in human colon formalin fixed paraffin embedded tissue section*.
The section was pre-treated using pressure cooker heat mediated antigen retrieval with sodium citrate buffer (pH 6) for 30 mins. The section was incubated with ab8224, 3 μg/ml overnight at +4°C. An HRP-conjugated secondary (ab6789, 1/2000 dilution) was used for 1hr at room temperature. The section was counterstained with hematoxylin and mounted with DPX.
The inset negative control image is secondary-only at 1/500 dilution.
*Tissue obtained from the Human Research Tissue Bank, supported by the NIHR Cambridge Biomedical Research Centre
