JavaScript is disabled in your browser. Please enable JavaScript to view this website.

Anti-IL-6 antibody(AB6672)

$undefined

Anti-IL-6 antibody(AB6672)

Anti-IL-6 antibody(AB6672)

Anti-IL-6 antibody(AB6672)

Anti-IL-6 antibody(AB6672)

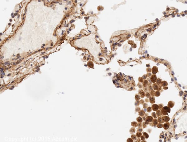
Anti-IL-6 antibody ab6672 is a rabbit polyclonal antibody that is used in IL-6 western blotting and IHC. Suitable for human samples.

- Tried and trusted by researchers since 2001
Specifications
Shipped At Conditions Blue Ice
Appropriate Long term Storage Conditions Store at -20°C.
Clonality Polyclonal
Applications IHC-P, WB
Species Reactivity Human
Isotype IgG