Request for Quote

Immunohistochemistry (Formalin/PFA-fixed paraffin-embedded sections) - Anti-Collagen IV antibody (ab6586)

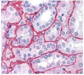
Paraffin-embedded human kidney tissue stained for Collagen IV using ab6586 at 1/400 dilution in immunohistochemical analysis with strong staining observed in glomeruli.

Paraffin-embedded human kidney tissue stained for Collagen IV using ab6586 at 1/400 dilution in immunohistochemical analysis with strong staining observed in glomeruli.

Immunohistochemistry (Formalin/PFA-fixed paraffin-embedded sections) - Anti-Collagen IV antibody (ab6586)

Paraffin-embedded human liver tissue stained for Collagen IV using ab6586 at 1/400 dilution in immunohistochemical analysis, strong staining was observed in the sinusoids.

Paraffin-embedded human liver tissue stained for Collagen IV using ab6586 at 1/400 dilution in immunohistochemical analysis, strong staining was observed in the sinusoids.

Immunohistochemistry (Formalin/PFA-fixed paraffin-embedded sections) - Anti-Collagen IV antibody (ab6586)

Immunohistochemical analysis of formalin-fixed paraffin-embedded human renal oncocytoma tissue labelling Collagen IV with ab6586 at 1/15 dilution for 1 hour at 37 °C followed by a ready to use Polymer-HRP, Rabbit/Mouse Detection Kit. Blocking: Peroxidase-Blocking Solution for 10 minutes. Substrate: DAB-Chromogen, Rabbit/Mouse. Staining/Results: dense collagen IV positive membranes surrounding tumor cell nests. Counterstained with hematoxylin for 15 seconds

Heat induced epitope retrieval (HIER) using Tris-EDTA-citrate buffer pH 7.8 for 5 minutes.

Immunohistochemical analysis of formalin-fixed paraffin-embedded human renal oncocytoma tissue labelling Collagen IV with ab6586 at 1/15 dilution for 1 hour at 37 °C followed by a ready to use Polymer-HRP, Rabbit/Mouse Detection Kit.

Immunohistochemistry (Formalin/PFA-fixed paraffin-embedded sections) - Anti-Collagen IV antibody (ab6586)

Immunohistochemical analysis of formalin-fixed paraffin-embedded human skeletal muscle cells labelling Collagen IV with ab6586 at 1/15 dilution for 1 hour at 37 °C followed by a ready to use Polymer-HRP, Rabbit/Mouse Detection Kit. Blocking: Peroxidase-Blocking Solution for 10 minutes. Substrate: DAB-Chromogen, Rabbit/Mouse. Staining/Results: cells surrounded by collagen IV fibers. Counterstained with hematoxylin for 15 seconds.

Heat induced epitope retrieval (HIER) using Tris-EDTA-citrate buffer pH 7.8 for 5 minutes.

Immunohistochemical analysis of formalin-fixed paraffin-embedded human skeletal muscle cells labelling Collagen IV with ab6586 at 1/15 dilution for 1 hour at 37 °C followed by a ready to use Polymer-HRP, Rabbit/Mouse Detection Kit.

Immunohistochemistry (Formalin/PFA-fixed paraffin-embedded sections) - Anti-Collagen IV antibody (ab6586)

Immunohistochemical analysis formalin-fixed paraffin-embedded human lung tissue labelling Collagen IV with ab6586 at 1/15 dilution for 1 hour at 37 °C followed by a ready to use Polymer-HRP, Rabbit/Mouse Detection Kit. Blocking: Peroxidase-Blocking Solution for 10 minutes. Substrate: DAB-Chromogen, Rabbit/Mouse. Staining/Results: basement membranes and vessels. Counterstained with hematoxylin for 15 seconds.

Heat induced epitope retrieval (HIER) using Tris-EDTA-citrate buffer pH 7.8 for 5 minutes.

Immunohistochemical analysis formalin-fixed paraffin-embedded human lung tissue labelling Collagen IV with ab6586 at 1/15 dilution for 1 hour at 37 °C followed by a ready to use Polymer-HRP, Rabbit/Mouse Detection Kit.
Specifications