JavaScript is disabled in your browser. Please enable JavaScript to view this website.

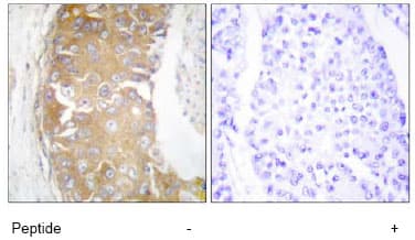
Anti-FRK antibody(ab64914)

$undefined

Anti-FRK antibody(ab64914)

Anti-FRK antibody(ab64914)

Anti-FRK antibody(ab64914)

Rabbit Polyclonal FRK antibody. Suitable for WB, IHC-P, ICC/IF and reacts with Human samples. Cited in 2 publications. Immunogen corresponding to Synthetic Peptide within Human Tyrosine-protein kinase FRK.
Specifications
Shipped At Conditions Blue Ice
Appropriate Long term Storage Conditions Store at -20°C.
Clonality Polyclonal
Applications ICC/IF, IHC-P, WB
Species Reactivity Human
Isotype IgG