JavaScript is disabled in your browser. Please enable JavaScript to view this website.

Anti-MZF1 antibody(ab64866)

$undefined

Anti-MZF1 antibody(ab64866)

Anti-MZF1 antibody(ab64866)

Anti-MZF1 antibody(ab64866)

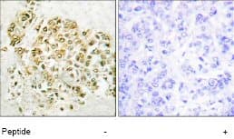
Rabbit Polyclonal MZF1 antibody. Suitable for WB, IHC-P, ICC/IF and reacts with Human samples. Cited in 14 publications. Immunogen corresponding to Synthetic Peptide within Human Myeloid zinc finger 1.
Specifications
Shipped At Conditions Blue Ice
Appropriate Long term Storage Conditions Store at -20°C.
Clonality Polyclonal
Applications ICC/IF, IHC-P, WB
Species Reactivity Human
Isotype IgG