JavaScript is disabled in your browser. Please enable JavaScript to view this website.

Anti-Dlx5 antibody(ab64827)

$undefined

Anti-Dlx5 antibody(ab64827)

Anti-Dlx5 antibody(ab64827)

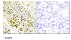
Rabbit Polyclonal DLX5 antibody. Suitable for IHC-P, WB and reacts with Human samples. Cited in 6 publications. Immunogen corresponding to Synthetic Peptide within Human Homeobox protein DLX-5.
Specifications
Shipped At Conditions Blue Ice
Appropriate Long term Storage Conditions Store at -20°C.
Clonality Polyclonal
Applications IHC-P, WB
Species Reactivity Human
Isotype IgG