Western blot - Anti-Mannose Receptor antibody (ab64693)
All lanes:
Western blot - Anti-Mannose Receptor antibody (ab64693) at 1 µg/mL
Lane 1:
Rat liver tissue lysate at 10 µg
Lane 2:
Human lung tissue lysate at 10 µg
Lane 3:
Rat lung tissue lysate at 10 µg
Lane 4:
Western blot - Mouse lung normal tissue lysate - total protein (ab29297) at 10 µg
Secondary
All lanes:
Peroxidase AffiniPure Goat Anti-Rabbit IgG (H+L) at 1/5000 dilution
Developed using the ECL technique.
Performed under reducing conditions.
Predicted band size: 166 kDa
Observed band size: 190 kDa
Exposure time: 4min

Immunocytochemistry/ Immunofluorescence - Anti-Mannose Receptor antibody (ab64693)
ab64693 staining Mannose Receptor in MOLT4 cells. The cells were fixed with 4% Formaldehyde (10 min), permeabilized with 0.1% PBS-Tween for 5 minutes and then blocked with 1% BSA/10% normal goat serum/0.3M glycine in 0.1%PBS-Tween for 1h. The cells were then incubated overnight at 4°C with ab64693 at 1μg/ml and ab7291, Mouse monoclonal [DM1A] to alpha Tubulin - Loading Control. Cells were then incubated with ab150081, Goat polyclonal Secondary Antibody to Rabbit IgG - H&L (Alexa Fluor® 488), pre-adsorbed at 1/1000 dilution (shown in green) and ab150120, Goat polyclonal Secondary Antibody to Mouse IgG - H&L (Alexa Fluor® 594), pre-adsorbed at 1/1000 dilution (shown in pseudocolour red). Nuclear DNA was labelled with DAPI (shown in blue).
Image was acquired with a confocal microscope (Leica-Microsystems TCS SP8) and a single confocal section is shown.

Immunohistochemistry (Formalin/PFA-fixed paraffin-embedded sections) - Anti-Mannose Receptor antibody (ab64693)
IHC image of ab64693 staining in human lung formalin fixed paraffin embedded tissue section*, performed on a Leica BondTM system using the standard protocol F. The section was pre-treated using heat mediated antigen retrieval with sodium citrate buffer (pH6, epitope retrieval solution 1) for 20 mins. The section was then incubated with ab64693, 0.1μg/ml, for 15 mins at room temperature and detected using an HRP conjugated compact polymer system. DAB was used as the chromogen. The section was then counterstained with haematoxylin and mounted with DPX.
For other IHC staining systems (automated and non-automated) customers should optimize variable parameters such as antigen retrieval conditions, primary antibody concentration and antibody incubation times.
*Tissue obtained from the Human Research Tissue Bank, supported by the NIHR Cambridge Biomedical Research Centre

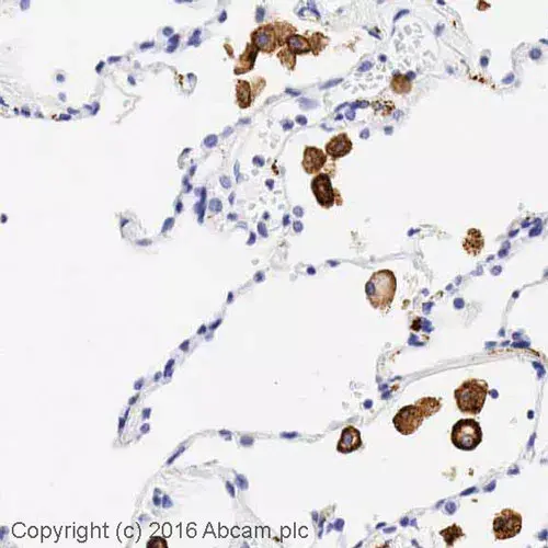
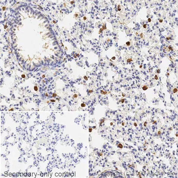
Immunohistochemistry (Formalin/PFA-fixed paraffin-embedded sections) - Anti-Mannose Receptor antibody (ab64693)
IHC image of Mannose Receptor staining in a section of formalin-fixed paraffin-embedded normal rat lung performed on a Leica BONDTM system using the standard protocol. The section was pre-treated using heat mediated antigen retrieval with sodium citrate buffer (pH6, epitope retrieval solution 1) for 20mins. The section was then incubated with ab64693, 0.01ug/ml, for 15 mins at room temperature and detected using an HRP conjugated compact polymer system. DAB was used as the chromogen. The section was then counterstained with haematoxylin and mounted with DPX. The inset secondary-only control image is taken from an identical assay without primary antibody.
For other IHC staining systems (automated and non-automated) customers should optimize variable parameters such as antigen retrieval conditions, primary antibody concentration and antibody incubation times.

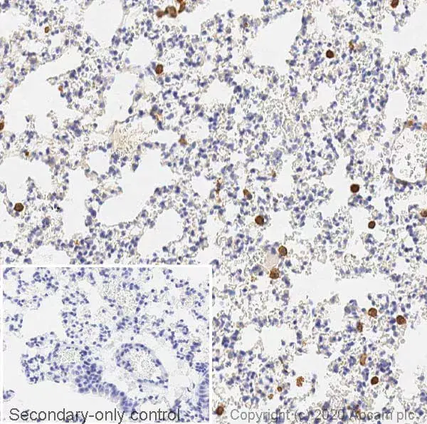
Immunohistochemistry (Formalin/PFA-fixed paraffin-embedded sections) - Anti-Mannose Receptor antibody (ab64693)
IHC image of Mannose Receptor staining in a section of formalin-fixed paraffin-embedded normal mouse lung performed on a Leica BONDTM system using the standard protocol. The section was pre-treated using heat mediated antigen retrieval with sodium citrate buffer (pH6, epitope retrieval solution 1) for 20mins. The section was then incubated with ab64693, 0.01ug/ml, for 15 mins at room temperature and detected using an HRP conjugated compact polymer system. DAB was used as the chromogen. The section was then counterstained with haematoxylin and mounted with DPX. The inset secondary-only control image is taken from an identical assay without primary antibody.
For other IHC staining systems (automated and non-automated) customers should optimize variable parameters such as antigen retrieval conditions, primary antibody concentration and antibody incubation times.

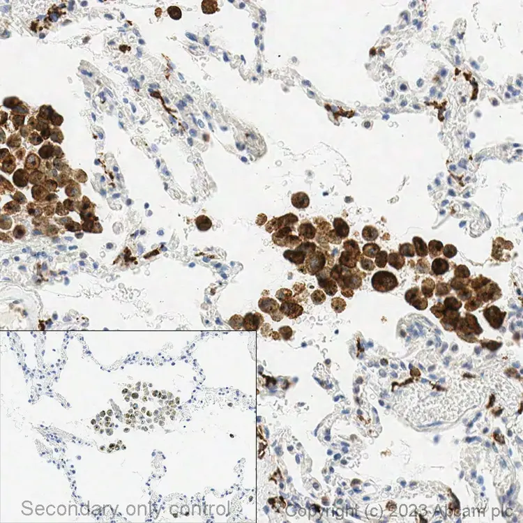
Immunohistochemistry (Formalin/PFA-fixed paraffin-embedded sections) - Anti-Mannose Receptor antibody (ab64693)
Immunohistochemical analysis of formalin fixed paraffin embedded human lung labelling mannose receptor with ab64693 at 0.1 µg/ml. The immunostaining was performed on a Ventana DISCOVERY ULTRA (Roche Tissue Diagnostics) instrument with an OptiView DAB IHC Detection Kit. Heat mediated antigen retrieval was conducted for 32min with ULTRA cell conditioning solution (CC1 pH8.5). ab64693 anti mannose receptor antibody was incubated at 37°C for 16min. Sections were counterstained is with Hematoxylin II. Image inset shows absence of staining in secondary antibody only control.

Immunohistochemistry (Formalin/PFA-fixed paraffin-embedded sections) - Anti-Mannose Receptor antibody (ab64693)
Immunohistochemical analysis of formalin fixed paraffin embedded human lung labelling mannose receptor with ab64693 at 0.1 µg/ml. The immunostaining was performed on a Ventana DISCOVERY ULTRA (Roche Tissue Diagnostics) instrument with an OptiView DAB IHC Detection Kit. Heat mediated antigen retrieval was conducted for 32min with ULTRA cell conditioning solution (CC1 pH8.5). ab64693 anti mannose receptor antibody was incubated at 37°C for 16min. Sections were counterstained is with Hematoxylin II. Image inset shows absence of staining in secondary antibody only control.
