JavaScript is disabled in your browser. Please enable JavaScript to view this website.

Anti-CD20 antibody [SP32](ab64088)

$undefined

Anti-CD20 antibody [SP32](ab64088)

Anti-CD20 antibody [SP32](ab64088)

Anti-CD20 antibody [SP32](ab64088)

Anti-CD20 antibody [SP32](ab64088)

Anti-CD20 antibody [SP32](ab64088)

Anti-CD20 antibody [SP32](ab64088)

Anti-CD20 antibody [SP32](ab64088)

Anti-CD20 antibody [SP32](ab64088)

Anti-CD20 antibody [SP32](ab64088)

Anti-CD20 antibody [SP32](ab64088)

Anti-CD20 antibody [SP32](ab64088)

Anti-CD20 antibody [SP32](ab64088)

Anti-CD20 antibody [SP32](ab64088)

Anti-CD20 antibody [SP32](ab64088)

Anti-CD20 antibody [SP32](ab64088)

Anti-CD20 antibody [SP32](ab64088)

Anti-CD20 antibody [SP32](ab64088)

Anti-CD20 antibody [SP32](ab64088)

Anti-CD20 antibody [SP32](ab64088)

Anti-CD20 antibody [SP32](ab64088)

Anti-CD20 antibody [SP32](ab64088)

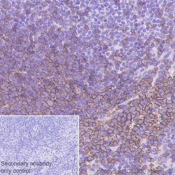
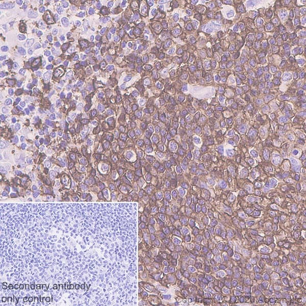
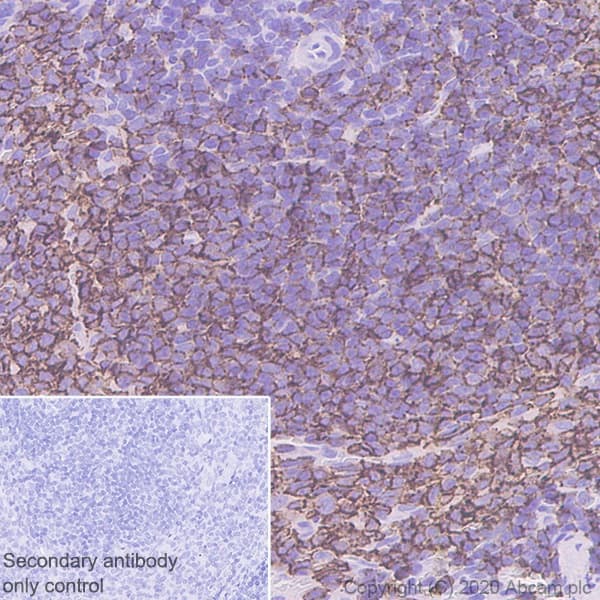
Anti-CD20 antibody [SP32] ab64088 is a rabbit monoclonal antibody that is used in CD20 western blotting, IHC, immunofluorescence and flow cytometry. Suitable for human, mouse and rat samples.

- Recombinant format for unrivaled batch-batch consistency: no need for same-lot requests
- Antibody clone SP32 has been tried and trusted by researchers since 2008 and is cited in >40 publications
- Specificity confirmed with MS4A1 knockout cell line validation
- Specificity and sensitivity confirmed in IHC with multi-tissue microarray (TMA) validation

New 20 ul size available
Specifications
Shipped At Conditions Blue Ice
Appropriate Long term Storage Conditions Store at -20°C.
Clonality Monoclonal
Applications Flow Cyt (Intra), ICC/IF, IHC-P, IP, WB, mIHC
Species Reactivity Human, Mouse, Rat
Isotype IgG