Flow Cytometry (Intracellular) - Anti-BrdU antibody [BU1/75 (ICR1)] - Proliferation Marker (ab6326)
Dot plot showing BrdU-treated HeLa cells stained with ab6326. Cells were incubated with 10 μM BrdU for 30 minutes prior to being harvested, washed twice in 1x PBS and fixed in 70% ethanol (4°C, added drop-wise) for at least 30 minutes on ice. Once fixed, pellets were acid denatured with 2M HCl for 30 minutes at 22°C and then neutralised with borate buffer (0.1M, pH8.5).
Samples were washed and incubated in 1x PBS / 10% normal goat serum to block non-specific protein-protein interactions followed by the antibody (ab6326, 1μg/1x106 cells) for 30 min at 22°C. The secondary antibody used was Goat Anti-Rat IgG H&L (Alexa Fluor® 488) preadsorbed (ab150165) at 1/2000 dilution for 30 min at 22°C.
7-AAD was added to cells 20 min prior to data acquisition.
Acquisition of >5,000 events were collected using a 50 mW Blue laser (488nm) with 530/30 and 685/35 bandpass filters.
![Flow Cytometry (Intracellular) - Anti-BrdU antibody [BU1/75 (ICR1)] - Proliferation Marker (ab6326). Dot plot showing BrdU-treated HeLa cells stained with ab6326](./media_13901ab6c68e3b435ce8555f1ee37aa9f78ccdc51.avif?width=750&format=avif&optimize=medium)
Immunocytochemistry/ Immunofluorescence - Anti-BrdU antibody [BU1/75 (ICR1)] - Proliferation Marker (ab6326)
ab6326 staining BrdU in Hela cells. Untreated and BrdU treated (10uM for 24 hours) cells. The cells were fixed with 100% methanol (5 min) and then subjected to acid hydrolysis using 2M HCL in 0.1% PBS-Tween for 30 minutes at room temperature to denature the DNA. They were then permeabilized with 0.1% PBS-Tween for 5 minutes and then blocked with 1% BSA/10% normal goat serum/0.3M glycine in 0.1%PBS-Tween for 1hr. The cells were then incubated overnight at 4°C with ab6326 at 1μg/ml and ab7291, Mouse monoclonal [DM1A] to alpha Tubulin - Loading Control. Cells were then incubated with ab150165, Goat polyclonal Secondary Antibody to Rat IgG - H&L (Alexa Fluor® 488), pre-adsorbed at 1/1000 dilution (shown in green) and ab150120, Goat polyclonal Secondary Antibody to Mouse IgG - H&L (Alexa Fluor® 594), pre-adsorbed at 1/1000 dilution (shown in pseudocolour red). Nuclear DNA was labelled with DAPI (shown in blue). Image was acquired with a confocal microscope (Leica-Microsystems TCS SP8) and a single confocal section is shown.
![Immunocytochemistry/ Immunofluorescence - Anti-BrdU antibody [BU1/75 (ICR1)] - Proliferation Marker (ab6326) ab6326 staining BrdU in Hela cells.](./media_1c0937a7c6a651e3b073fcfaffd80f8058b0f43ab.avif?width=750&format=avif&optimize=medium)
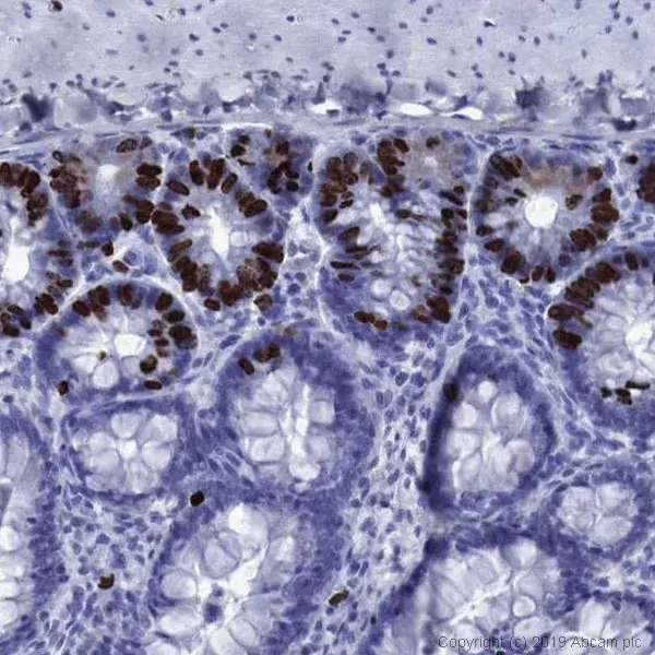
Immunohistochemistry (Formalin/PFA-fixed paraffin-embedded sections) - Anti-BrdU antibody [BU1/75 (ICR1)] - Proliferation Marker (ab6326)
IHC image of ab6326 staining in a formalin-fixed, paraffin-embedded rat small intestine BrdU tissue section. The section was pre-treated using pressure cooker heat mediated antigen retrieval with sodium citrate buffer (pH6) for 30mins, and incubated overnight at +4°C with ab6326 at 3 ug/ml. A goat anti-rat biotinylated secondary antibody was used to detect the primary, and visualized using an HRP conjugated ABC system. The section was counterstained with haematoxylin and mounted with DPX.
For other IHC staining systems (automated and non-automated) users should optimize variable parameters such as antigen retrieval conditions, primary antibody concentration and antibody incubation times.
