JavaScript is disabled in your browser. Please enable JavaScript to view this website.

Anti-DNA/RNA Damage antibody [15A3](AB62623)

$undefined

Dna Rna Damage Antibody 15a3 Ab62623  Immunocytochemistry Img25029

Dna Rna Damage Antibody 15a3 Ab62623  Immunohistochemistry Formalin Pfa Fixed Paraffin Embedded Sections Img130685

Dna Rna Damage Antibody 15a3 Ab62623  Immunohistochemistry Formalin Pfa Fixed Paraffin Embedded Sections Img139160

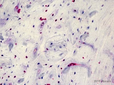
Dna Rna Damage Antibody 15a3 Ab62623  Immunohistochemistry Formalin Pfa Fixed Paraffin Embedded Sections Img174828

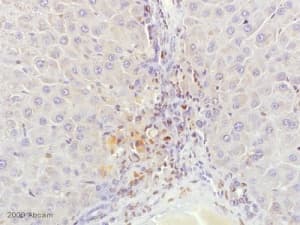
Dna Rna Damage Antibody 15a3 Ab62623  Immunohistochemistry Formalin Pfa Fixed Paraffin Embedded Sections Img56187

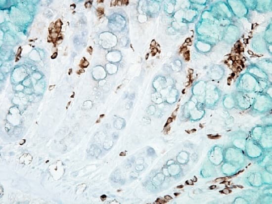
Dna Rna Damage Antibody 15a3 Ab62623  Immunohistochemistry Formalin Pfa Fixed Paraffin Embedded Sections Img98297

Anti-DNA/RNA Damage antibody [15A3] ab62623 is a mouse monoclonal antibody that is used in DNA/RNA Damage IHC and immunofluorescence.

- Antibody clone 15A3 has been tried and trusted by researchers since 2008 and is cited in >160 publications
Specifications
Shipped At Conditions Blue Ice
Appropriate Long term Storage Conditions Store at -20°C.
Clonality Monoclonal
Applications AP, ELISA, ICC, IHC-Fr, IHC-P
Isotype IgG2b