JavaScript is disabled in your browser. Please enable JavaScript to view this website.

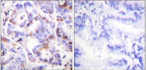
Anti-RPA32/RPA2 (phospho T21) antibody(AB61065)

$undefined

Anti-RPA32/RPA2 (phospho T21) antibody(AB61065)

Anti-RPA32/RPA2 (phospho T21) antibody(AB61065)

Rabbit Polyclonal RPA32/RPA2 phospho T21 antibody. Suitable for WB, IHC-P and reacts with Human samples. Cited in 23 publications. Immunogen corresponding to Synthetic Peptide within Human RPA2 phospho T21 aa 1-100.
Specifications
Shipped At Conditions Blue Ice
Appropriate Long term Storage Conditions Store at -20°C.
Clonality Polyclonal
Applications Human
Species Reactivity IHC-P, WB
Isotype IgG