JavaScript is disabled in your browser. Please enable JavaScript to view this website.

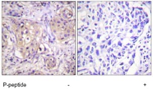
Anti-PKC (phospho T497) antibody(ab59411)

$undefined

Anti-PKC (phospho T497) antibody(ab59411)

Anti-PKC (phospho T497) antibody(ab59411)

Anti-PKC (phospho T497) antibody(ab59411)

Rabbit Polyclonal KPCA phospho T497 antibody. Suitable for WB, IHC-P, ICC/IF and reacts with Human samples. Cited in 7 publications. Immunogen corresponding to Synthetic Peptide within Human PRKCA phospho T497 aa 600 to C-terminus.
Specifications
Shipped At Conditions Blue Ice
Appropriate Long term Storage Conditions Store at -20°C.
Clonality Polyclonal
Applications ICC/IF, IHC-P, WB
Species Reactivity Human
Isotype IgG