JavaScript is disabled in your browser. Please enable JavaScript to view this website.

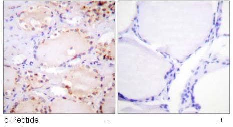
Anti-BMX (phospho Y566) antibody(ab59409)

$undefined

Anti-BMX (phospho Y566) antibody(ab59409)

Anti-BMX (phospho Y566) antibody(ab59409)

Anti-BMX (phospho Y566) antibody(ab59409)

Rabbit Polyclonal BMX phospho Y566 antibody. Suitable for WB, IHC-P and reacts with Human samples. Cited in 3 publications. Immunogen corresponding to Synthetic Peptide within Human Cytoplasmic tyrosine-protein kinase BMX phospho Y566 aa 500-600.
Specifications
Shipped At Conditions Blue Ice
Appropriate Long term Storage Conditions Store at -20°C.
Clonality Polyclonal
Applications IHC-P, WB
Species Reactivity Human
Isotype IgG