JavaScript is disabled in your browser. Please enable JavaScript to view this website.

Anti-S6K1 (phospho T229) antibody(ab59208)

$undefined

Anti-S6K1 (phospho T229) antibody(ab59208)

Anti-S6K1 (phospho T229) antibody(ab59208)

Anti-S6K1 (phospho T229) antibody(ab59208)

Anti-S6K1 (phospho T229) antibody(ab59208)

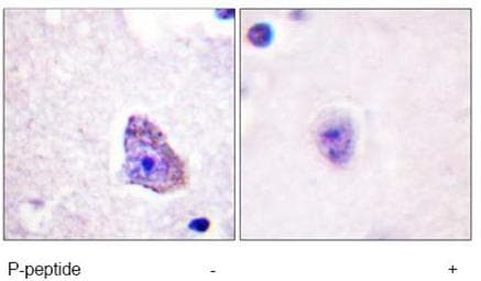
Rabbit Polyclonal KS6B1 phospho T229 antibody. Suitable for ELISA, WB, IHC-P and reacts with Mouse, Rat, Human samples. Cited in 32 publications. Immunogen corresponding to Synthetic Peptide within Human S6K1 phospho T229 aa 150-250.
Specifications
Shipped At Conditions Blue Ice
Appropriate Long term Storage Conditions Store at -20°C.
Clonality Polyclonal
Applications ELISA, IHC-P, WB
Species Reactivity Human, Mouse, Rat
Isotype IgG