JavaScript is disabled in your browser. Please enable JavaScript to view this website.

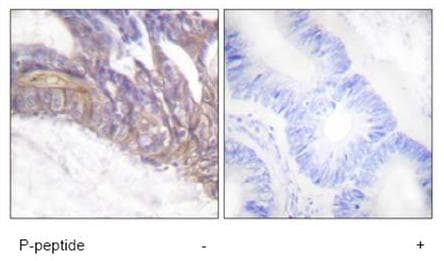
Anti-LAT (phospho Y191) antibody(ab59197)

$undefined

Anti-LAT (phospho Y191) antibody(ab59197)

Anti-LAT (phospho Y191) antibody(ab59197)

Rabbit Polyclonal LAT phospho Y191 antibody. Suitable for ELISA, WB, IHC-P and reacts with Mouse, Human samples. Cited in 3 publications. Immunogen corresponding to Synthetic Peptide within Human LAT phospho Y191 aa 150 to C-terminus.
Specifications
Shipped At Conditions Blue Ice
Appropriate Long term Storage Conditions Store at -20°C.
Clonality Polyclonal
Applications ELISA, IHC-P, WB
Species Reactivity Human, Mouse
Isotype IgG