JavaScript is disabled in your browser. Please enable JavaScript to view this website.

Anti-FGFR1 (phospho Y766) antibody(ab59180)

$undefined

Anti-FGFR1 (phospho Y766) antibody(ab59180)

Anti-FGFR1 (phospho Y766) antibody(ab59180)

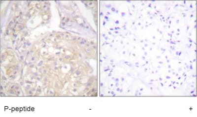
Rabbit Polyclonal FGFR1 phospho Y766 antibody. Suitable for WB, IHC-P and reacts with Human samples. Cited in 3 publications. Immunogen corresponding to Synthetic Peptide within Human FGFR1_HUMAN phospho Y766 aa 700-800.
Specifications
Shipped At Conditions Blue Ice
Appropriate Long term Storage Conditions Store at -20°C.
Clonality Polyclonal
Applications IHC-P, WB
Species Reactivity Human
Isotype IgG