JavaScript is disabled in your browser. Please enable JavaScript to view this website.

Anti-Anillin antibody(ab5910)

$undefined

Anti-Anillin antibody(ab5910)

Anti-Anillin antibody(ab5910)

Anti-Anillin antibody(ab5910)

Anti-Anillin antibody(ab5910)

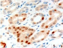
Goat Polyclonal Anillin antibody. Suitable for IHC-P, ICC/IF, Flow Cyt (Intra) and reacts with Human samples. Cited in 8 publications. Immunogen corresponding to Synthetic Peptide within Human Anillin aa 1100 to C-terminus.
Specifications
Shipped At Conditions Blue Ice
Appropriate Long term Storage Conditions Store at -20°C.
Clonality Polyclonal
Applications Flow Cyt (Intra), ICC/IF, IHC-P
Species Reactivity Human
Isotype IgG