JavaScript is disabled in your browser. Please enable JavaScript to view this website.

Anti-Hsp20 (phospho S16) antibody(ab58522)

$undefined

Anti-Hsp20 (phospho S16) antibody(ab58522)

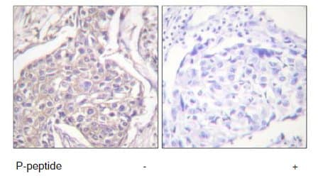
Rabbit Polyclonal Hsp20 phospho S16 antibody. Suitable for IHC-P and reacts with Human samples. Cited in 12 publications. Immunogen corresponding to Synthetic Peptide within Human HSPB6 phospho S16 aa 1-100.
Specifications
Shipped At Conditions Blue Ice
Appropriate Long term Storage Conditions Store at -20°C.
Clonality Polyclonal
Applications IHC-P
Species Reactivity Human
Isotype IgG