JavaScript is disabled in your browser. Please enable JavaScript to view this website.

Anti-TIMP4 antibody(ab58425)

$undefined

Anti-TIMP4 antibody(ab58425)

Anti-TIMP4 antibody(ab58425)

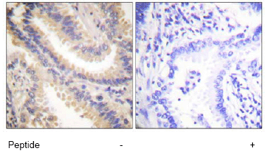
Rabbit Polyclonal TIMP4 antibody. Suitable for ELISA, WB, IHC-P, IHC-Fr and reacts with Mouse, Rat, Human samples. Cited in 13 publications. Immunogen corresponding to Synthetic Peptide within Human Metalloproteinase inhibitor 4.
Specifications
Shipped At Conditions Blue Ice
Appropriate Long term Storage Conditions Store at -20°C.
Clonality Polyclonal
Applications ELISA, IHC-Fr, IHC-P, WB
Species Reactivity Human, Mouse, Rat
Isotype IgG