JavaScript is disabled in your browser. Please enable JavaScript to view this website.

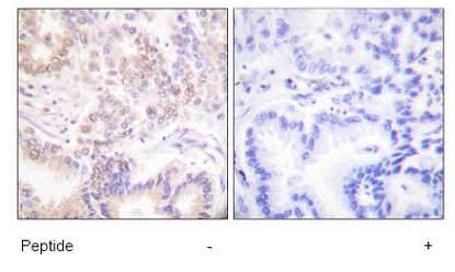
Anti-SENP5 antibody(ab58420)

$undefined

Anti-SENP5 antibody(ab58420)

Anti-SENP5 antibody(ab58420)

Rabbit Polyclonal SENP5 antibody. Suitable for WB, IHC-P and reacts with African green monkey, Human samples. Cited in 3 publications. Immunogen corresponding to Synthetic Peptide within Human Sentrin-specific protease 5 aa 650-700.
Specifications
Shipped At Conditions Blue Ice
Appropriate Long term Storage Conditions Store at -20°C.
Clonality Polyclonal
Applications IHC-P, WB
Species Reactivity African green monkey, Human
Isotype IgG