JavaScript is disabled in your browser. Please enable JavaScript to view this website.

Anti-PIAS3 antibody(ab58406)

$undefined

Anti-PIAS3 antibody(ab58406)

Anti-PIAS3 antibody(ab58406)

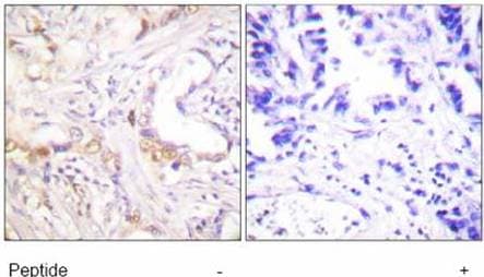
Rabbit Polyclonal PIAS3 antibody. Suitable for WB, IHC-P and reacts with Human samples. Cited in 6 publications. Immunogen corresponding to Synthetic Peptide within Human E3 SUMO-protein ligase PIAS3.
Specifications
Shipped At Conditions Blue Ice
Appropriate Long term Storage Conditions Store at -20°C.
Clonality Polyclonal
Applications IHC-P, WB
Species Reactivity Human
Isotype IgG