JavaScript is disabled in your browser. Please enable JavaScript to view this website.

Anti-Nuclear Receptor Corepressor NCoR antibody(ab58396)

$undefined

Anti-Nuclear Receptor Corepressor NCoR antibody(ab58396)

Anti-Nuclear Receptor Corepressor NCoR antibody(ab58396)

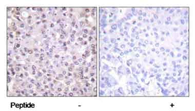
Rabbit Polyclonal Nuclear Receptor Corepressor NCoR antibody. Suitable for WB, IHC-P and reacts with Human samples. Cited in 5 publications. Immunogen corresponding to Synthetic Peptide within Human NCOR1_HUMAN.
Specifications
Shipped At Conditions Blue Ice
Appropriate Long term Storage Conditions Store at -20°C.
Clonality Polyclonal
Applications IHC-P, WB
Species Reactivity Human
Isotype IgG