JavaScript is disabled in your browser. Please enable JavaScript to view this website.

Anti-CD40 antibody(ab58391)

$undefined

Anti-CD40 antibody(ab58391)

Anti-CD40 antibody(ab58391)

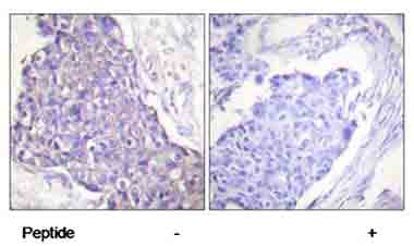
Rabbit Polyclonal CD40 antibody. Suitable for WB, IHC-P and reacts with African green monkey, Human samples. Cited in 5 publications. Immunogen corresponding to Synthetic Peptide within Human CD40.
Specifications
Shipped At Conditions Blue Ice
Appropriate Long term Storage Conditions Store at -20°C.
Clonality Polyclonal
Applications IHC-P, WB
Species Reactivity African green monkey, Human
Isotype IgG