JavaScript is disabled in your browser. Please enable JavaScript to view this website.

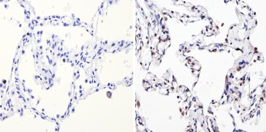
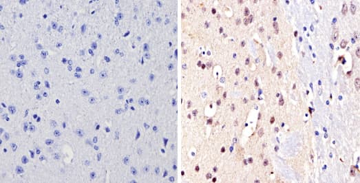
Anti-NCOR2/SMRT antibody(ab5802)

$undefined

Anti-NCOR2/SMRT antibody(ab5802)

Anti-NCOR2/SMRT antibody(ab5802)

Anti-NCOR2/SMRT antibody(ab5802)

Anti-NCOR2/SMRT antibody(ab5802)

Anti-NCOR2/SMRT antibody(ab5802)

Anti-NCOR2/SMRT antibody(ab5802)

Rabbit Polyclonal NCOR2/SMRT antibody. Suitable for IHC-P, ICC/IF and reacts with Mouse, Human samples. Cited in 3 publications. Immunogen corresponding to Recombinant Fragment Protein within Human NCOR2 aa 50-600.
Specifications
Shipped At Conditions Blue Ice
Appropriate Long term Storage Conditions Store at -20°C.
Clonality Polyclonal
Applications ICC/IF, IHC-P
Species Reactivity Human, Mouse
Isotype IgG