JavaScript is disabled in your browser. Please enable JavaScript to view this website.

Anti-PAX6 antibody(ab5790)

$undefined

Anti-PAX6 antibody(ab5790)

Anti-PAX6 antibody(ab5790)

Anti-PAX6 antibody(ab5790)

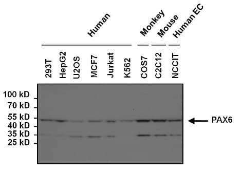
Rabbit Polyclonal PAX6 antibody. Suitable for WB, ICC/IF, IP and reacts with Mouse, Monkey, Human, Rat samples. Cited in 128 publications. Immunogen corresponding to Synthetic Peptide within Mouse Pax6 aa 250-300.
Specifications
Shipped At Conditions Blue Ice
Appropriate Long term Storage Conditions Store at -20°C.
Clonality Polyclonal
Applications ICC/IF, IP, WB
Species Reactivity Human, Monkey, Mouse, Rat
Isotype IgG