JavaScript is disabled in your browser. Please enable JavaScript to view this website.

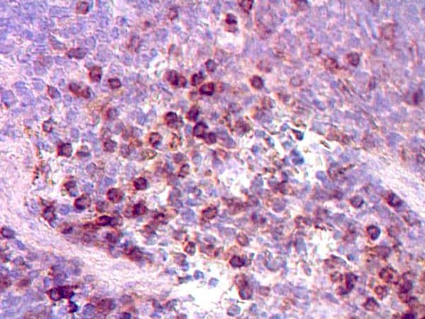
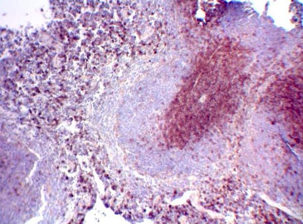
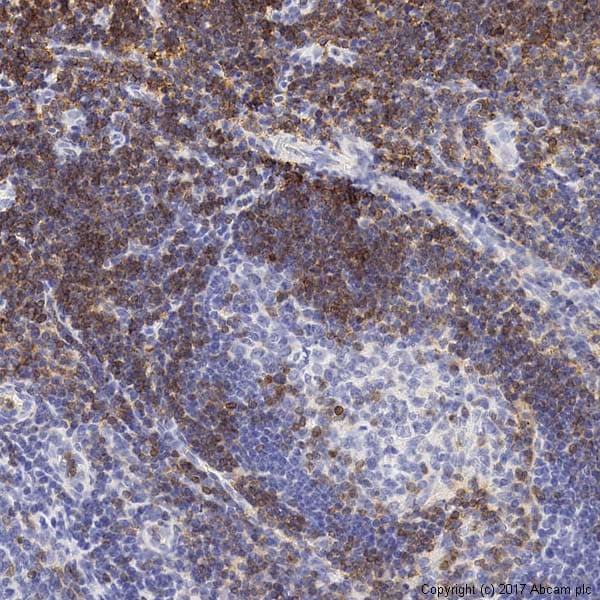
Anti-CD3 epsilon antibody(ab5690)

$undefined

Anti-CD3 epsilon antibody(ab5690)

Anti-CD3 epsilon antibody(ab5690)

Anti-CD3 epsilon antibody(ab5690)

Anti-CD3 epsilon antibody(ab5690)

Anti-CD3 epsilon antibody(ab5690)

Anti-CD3 epsilon antibody(ab5690)

Anti-CD3 epsilon antibody(ab5690)

Anti-CD3 epsilon antibody(ab5690)

Anti-CD3 epsilon antibody(ab5690)

Anti-CD3 epsilon antibody(ab5690)

Anti-CD3 epsilon antibody(ab5690)

Anti-CD3 epsilon antibody(ab5690)

Anti-CD3 epsilon antibody ab5690 is a rabbit polyclonal antibody that is used in CD3 epsilon western blotting and IHC. Suitable for human, mouse and rat samples.

- Tried and trusted by researchers since 2003
Specifications
Shipped At Conditions Blue Ice
Appropriate Long term Storage Conditions Store at +4°C.
Clonality Polyclonal
Applications IHC-P, WB
Species Reactivity Human, Mouse, Rat
Isotype IgG