JavaScript is disabled in your browser. Please enable JavaScript to view this website.

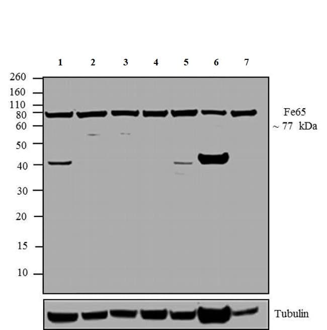
Anti-FE65 antibody(ab5668)

$undefined

Anti-FE65 antibody(ab5668)

Anti-FE65 antibody(ab5668)

Anti-FE65 antibody(ab5668)

Rabbit Polyclonal FE65 antibody. Suitable for WB, ICC/IF and reacts with Mouse, Rat, Human samples. Cited in 1 publication.
Specifications
Shipped At Conditions Blue Ice
Appropriate Long term Storage Conditions Store at -20°C.
Clonality Polyclonal
Applications ICC/IF, WB
Species Reactivity Human, Mouse, Rat
Isotype IgG