Flow Cytometry - Anti-SQSTM1 / p62 antibody [2C11] - BSA and Azide free (ab56416)
Overlay histogram showing HeLa cells stained with ab56416 (red line). The cells were fixed with 80% methanol (5 min) and then permeabilized with 0.1% PBS-Tween for 20 min. The cells were then incubated in 1x PBS / 10% normal goat serum / 0.3M glycine to block non-specific protein-protein interactions followed by the antibody (ab56416, 0.5μg/1x106 cells) for 30 min at 22°C. The secondary antibody used was Goat Anti-Mouse IgG H&L (DyLight® 488) preadsorbed (ab96879) at 1/500 dilution for 30 min at 22°C. Isotype control antibody (black line) was mouse IgG2a [ICIGG2A] (ab91361, 1μg/1x106 cells) used under the same conditions. Acquisition of >5,000 events was performed.
This image was generated using the ascites version of the product.

Western blot - Anti-SQSTM1 / p62 antibody [2C11] - BSA and Azide free (ab56416)
Lanes 1- 2: Merged signal (red and green). Green - ab56416 observed at 62 kDa. Red - Anti-GAPDH antibody[EPR16891] - Loading Control (ab181602) observed at 37 kDa.
ab56416 was shown to react with SQSTM1/p62 in wild-type HEK293T cells in western blot. Loss of signal was observed when knockout cell line ab255343 (knockout cell lysate ab263770) was used. Wild-type HEK293T and SQSTM1 knockout HEK293T cell lysates were subjected to SDS-PAGE. Membrane was blocked for 1 hour at room temperature in 0.1% TBST with 3% non-fat dried milk. ab56416 and Anti-GAPDH antibody[EPR16891] - Loading Control (ab181602) overnight at 4°C at a 1 in 1000 dilution and a 1 in 20000 dilution respectively. Blots were developed with Goat anti-Mouse IgG H&L (IRDye®800CW) preadsorbed (ab216772) and Goat Anti-Rabbit IgG H&L (IRDye®680RD) preadsorbed (ab216777) secondary antibodies at 1 in 20000 dilution for 1 hour at room temperature before imaging.
All lanes:
Western blot - Anti-SQSTM1 / p62 antibody [2C11] - BSA and Azide free (ab56416) at 1/1000 dilution
Lane 1:
Wild-type HEK293T cell lysate at 20 µg
Lane 2:
SQSTM1 knockout HEK293T cell lysate at 20 µg
Performed under reducing conditions.
Predicted band size: 47 kDa
Observed band size: 62 kDa
![Western blot - Anti-SQSTM1/p62 antibody [2C11] - BSA and Azide free (ab56416) at 1/1000 dilution Lane 1: Wild-type HEK293T cell lysate at 20 µg Lane 2: SQSTM1 knockout HEK293T cell lysate at 20 µg](./media_12de198129cc63c96dd01176f8eede2c71aa85ad0.avif?width=750&format=avif&optimize=medium)
Immunocytochemistry/ Immunofluorescence - Anti-SQSTM1 / p62 antibody [2C11] - BSA and Azide free (ab56416)
Monoclonal antibody to SQSTM1 (ab56416) on HeLa cell, antibody concentration 10 ug/ml.
This image was generated using the ascites version of the product.

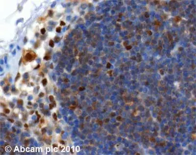
Immunohistochemistry (Formalin/PFA-fixed paraffin-embedded sections) - Anti-SQSTM1 / p62 antibody [2C11] - BSA and Azide free (ab56416)
ab56416 (1μg/ml) staining SQSTM1 in human lymph node using an automated system (DAKO Autostainer Plus). Using this protocol there is strong nuclear and cytoplasmic staining.
Sections were rehydrated and antigen retrieved with the Dako 3 in 1 AR buffer citrate pH 6.0 in a DAKO PT link. Slides were peroxidase blocked in 3% H2O2 in methanol for 10 mins. They were then blocked with Dako Protein block for 10 minutes (containing casein 0.25% in PBS) then incubated with primary antibody for 20 min and detected with Dako Envision Flex amplification kit for 30 minutes. Colorimetric detection was completed with Diaminobenzidine for 5 minutes. Slides were counterstained with Haematoxylin and coverslipped under DePeX. Please note that, for manual staining, optimization of primary antibody concentration and incubation time is recommended. Signal amplification may be required.
This image was generated using the ascites version of the product.
