Immunocytochemistry - Anti-MAP2 antibody (ab5392)
Rat E20 cultured cortical neuron-glial cells stained for MAP2 (red) using ab5392 at 1/10000 dilution for ICC/IF. Tau is detected with a mouse monoclonal anti-Tau antibody (green). The nuclear counter stain is DAPI (blue). Overlap of MAP2 and Tau staining results in an orange-yellow color.

Immunocytochemistry - Anti-MAP2 antibody (ab5392)
ab5392 at a dilution of 1/10000, staining MAP 2 (green) in tissue cultured rat cortical neurons by immunofluorescence. Nuclei are stained blue with Dapi.

Western blot - Anti-MAP2 antibody (ab5392)
All lanes:
Western blot - Anti-MAP2 antibody (ab5392) at 1/50000 dilution
Lane 1:
Adult rat brain lysate
Lane 2:
Embryonic E20 rat brain lysate
Lane 3:
Adult mouse brain lysate
Predicted band size: 199 kDa

Immunocytochemistry - Anti-MAP2 antibody (ab5392)
Rat cortical neurons and glia in mixed tissue culture stained with ab5392 (Chicken antibody to MAP2) (green)(1:30 000), a mouse monoclonal antibody to GFAP (red) and nuclei of all cells stained with Hoechst dye (blue).

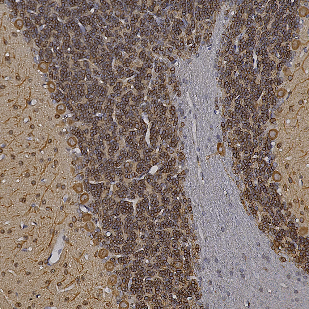
Immunohistochemistry (Formalin/PFA-fixed paraffin-embedded sections) - Anti-MAP2 antibody (ab5392)
Chromogenic Immunostaining of a formalin fixed paraffin embedded rat cerebellum section with chicken pAb to MAP2A/B dilution 1/10000, detected in DAB (brown) following the ABC method. Hematoxylin (blue) was used as the counterstain. ab5392 detects neuronal cells, specifically their perikarya and dendrites. Note the prominent staining of Purkinje cells and their dendrites in the molecular layer and staining of the much smaller granule neurons in the granular layer.
