JavaScript is disabled in your browser. Please enable JavaScript to view this website.

Anti-EEF2/Elongation factor 2 (phospho T56) antibody(AB53114)

$undefined

Anti-EEF2/Elongation factor 2 (phospho T56) antibody(AB53114)

Anti-EEF2/Elongation factor 2 (phospho T56) antibody(AB53114)

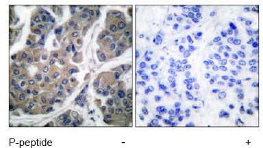
Rabbit Polyclonal EEF2/Elongation factor 2 phospho T56 antibody. Suitable for WB, IHC-P and reacts with Mouse, Human samples. Cited in 5 publications. Immunogen corresponding to Synthetic Peptide within Human Elongation factor 2 phospho T56 aa 1-100.
Specifications
Shipped At Conditions Blue Ice
Appropriate Long term Storage Conditions Store at -20°C.
Clonality Polyclonal
Applications Human, Mouse
Species Reactivity IHC-P, WB
Isotype IgG