JavaScript is disabled in your browser. Please enable JavaScript to view this website.

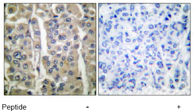
Anti-Involucrin antibody(AB53112)

$undefined

Anti-Involucrin antibody(AB53112)

Anti-Involucrin antibody(AB53112)

Anti-Involucrin antibody(AB53112)

Rabbit Polyclonal Involucrin antibody. Suitable for ELISA, WB, IHC-P, ICC/IF and reacts with Human samples. Cited in 46 publications. Immunogen corresponding to Synthetic Peptide within Human Involucrin.
Specifications
Shipped At Conditions Blue Ice
Appropriate Long term Storage Conditions Store at -20°C.
Clonality Polyclonal
Applications Human
Species Reactivity ELISA, ICC/IF, IHC-P, WB
Isotype IgG