JavaScript is disabled in your browser. Please enable JavaScript to view this website.

Anti-Grp75/MOT antibody(AB53098)

$undefined

Anti-Grp75/MOT antibody(AB53098)

Anti-Grp75/MOT antibody(AB53098)

Anti-Grp75/MOT antibody(AB53098)

Anti-Grp75/MOT antibody(AB53098)

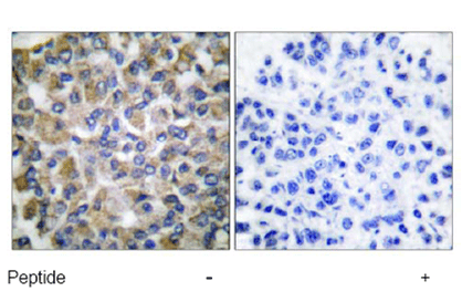
Rabbit Polyclonal Grp75/MOT antibody. Suitable for ELISA, WB, IHC-P, ICC/IF and reacts with Mouse, Rat, African green monkey, Human samples. Cited in 22 publications. Immunogen corresponding to Synthetic Peptide within Human Stress-70 protein, mitochondrial aa 600 to C-terminus.
Specifications
Shipped At Conditions Blue Ice
Appropriate Long term Storage Conditions Store at -20°C.
Clonality Polyclonal
Applications African green monkey, Human, Mouse, Rat
Species Reactivity ELISA, ICC/IF, IHC-P, WB
Isotype IgG