JavaScript is disabled in your browser. Please enable JavaScript to view this website.

Anti-VEGFA antibody [EP1176Y] - C-terminal(AB52917)

$undefined

Anti-VEGFA antibody [EP1176Y] - C-terminal(AB52917)

Anti-VEGFA antibody [EP1176Y] - C-terminal(AB52917)

Anti-VEGFA antibody [EP1176Y] - C-terminal(AB52917)

Anti-VEGFA antibody [EP1176Y] - C-terminal(AB52917)

Anti-VEGFA antibody [EP1176Y] - C-terminal(AB52917)

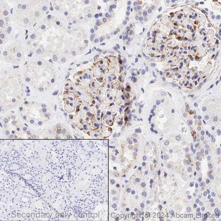
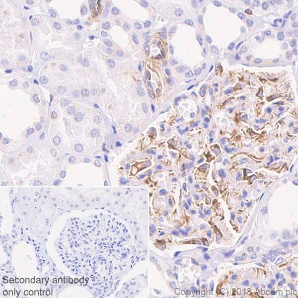
Anti-VEGFA antibody [EP1176Y] ab52917 is a rabbit monoclonal antibody that is used in VEGFA IHC, immunofluorescence and flow cytometry. Suitable for human and mouse samples.

- Recombinant format for unrivaled batch-batch consistency: no need for same-lot requests
- Antibody clone EP1176Y has been tried and trusted by researchers since 2007 and is cited in >280 publications
- Specificity and sensitivity confirmed in IHC with multi-tissue microarray (TMA) validation
New 20 ul size available
Specifications
Shipped At Conditions Blue Ice
Appropriate Long term Storage Conditions Store at -20°C.
Clonality Monoclonal
Applications Flow Cyt (Intra), ICC/IF, IHC-P, WB
Species Reactivity Human, Mouse, Rat
Isotype IgG