JavaScript is disabled in your browser. Please enable JavaScript to view this website.

Anti-MMP3 antibody [EP1186Y](AB52915)

$undefined

Anti-MMP3 antibody [EP1186Y](AB52915)

Anti-MMP3 antibody [EP1186Y](AB52915)

Anti-MMP3 antibody [EP1186Y](AB52915)

Anti-MMP3 antibody [EP1186Y](AB52915)

Anti-MMP3 antibody [EP1186Y](AB52915)

Anti-MMP3 antibody [EP1186Y](AB52915)

Anti-MMP3 antibody [EP1186Y](AB52915)

Anti-MMP3 antibody [EP1186Y](AB52915)

Anti-MMP3 antibody [EP1186Y](AB52915)

Anti-MMP3 antibody [EP1186Y](AB52915)

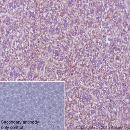
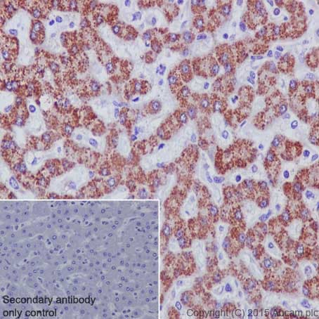
Anti-MMP3 antibody [EP1186Y] ab52915 is a rabbit monoclonal antibody that is used in MMP3 western blotting, IHC and immunofluorescence. Suitable for human, mouse and rat samples.

- Recombinant format for unrivaled batch-batch consistency: no need for same-lot requests
- Antibody clone EP1186Y is the most widely used clone for MMP3 on the market and is cited in >300 publications
- Specificity confirmed with MMP3 knockout cell line validation
- Specificity and sensitivity confirmed in IHC with multi-tissue microarray (TMA) validation
Specifications
Shipped At Conditions Blue Ice
Appropriate Long term Storage Conditions Store at -20°C.
Clonality Monoclonal
Applications ICC/IF, IHC-P, WB
Species Reactivity Human, Mouse, Rat
Isotype IgG