Immunoprecipitation - Anti-EGFR antibody [EP38Y] (ab52894)
ab52894 (purified) at 1:20 dilution (0.5 μg) immunoprecipitating EGFR in HeLa (Human cervix adenocarcinoma epithelial cell) whole cell lysate.
Lane 1 (input): HeLa whole cell lysate 10 μg
Lane 2 (+): ab52894 in HeLa whole cell lysate
Lane 3 (-): Rabbit monoclonal IgG (ab172730) instead of ab52894 in HeLa whole cell lysate
For western blotting, VeriBlot for IP Detection Reagent (HRP) (ab131366) was used for detection at 1:1000 dilution.
Blocking and diluting buffer: 5% NFDM/TBST.
All lanes:
Immunoprecipitation - Anti-EGFR antibody [EP38Y] (ab52894)
Predicted band size: 134 kDa
Observed band size: 175 kDa

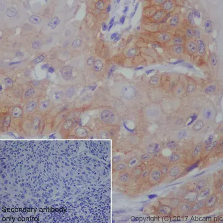
Immunohistochemistry (Formalin/PFA-fixed paraffin-embedded sections) - Anti-EGFR antibody [EP38Y] (ab52894)
Immunohistochemistry (Formalin/PFA-fixed paraffin-embedded sections) analysis of human cervical carcinoma tissue sections labeling EGFR with purified ab52894 at 1:100 dilution (0.95 μg/ml).
Heat mediated antigen retrieval was performed using EDTA buffer, pH 9.0. Tissue was counterstained with hematoxylin. ab97051 Goat Anti-Rabbit IgG H&L (HRP) secondary antibody was used at 1:500 dilution. PBS instead of the primary antibody was used as the negative control.

Western blot - Anti-EGFR antibody [EP38Y] (ab52894)
Blocking and diluting buffer: 5% NFDM/TBST
All lanes:
Western blot - Anti-EGFR antibody [EP38Y] (ab52894) at 1/10000 dilution
Lane 1:
Rat liver lysates at 15 µg
Lane 2:
Mouse lung lysates at 15 µg
Secondary
All lanes:
Western blot - Goat Anti-Rabbit IgG H&L (HRP) (ab97051) at 1/20000 dilution
Predicted band size: 134 kDa
Observed band size: 175 kDa

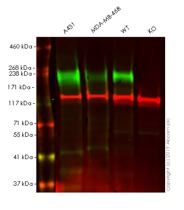
Western blot - Anti-EGFR antibody [EP38Y] (ab52894)
** Lanes 1 - 4:** Merged signal (red and green). Green - ab52894 observed at 175 kDa. Red - loading control, ab130007 observed at 125 kDa.
ab52894 was shown to react with EGFR in wild-type HeLa. Loss of signal was observed when knockout cell line ab255385 (knockout cell lysate ab263845) was used. Wild-type and EGFR knockout samples were subjected to SDS-PAGE. ab52894 and Anti-Vinculin antibody [VIN-54] (ab130007) were incubated overnight at 4°C at 1 in 1000 dilution and 1 in 20000 dilution respectively. Blots were developed with Goat anti-Rabbit IgG H&L (IRDye® 800CW) preadsorbed (ab216773) and Goat anti-Mouse IgG H&L (IRDye® 680RD) preadsorbed (ab216776) secondary antibodies at 1 in 20000 dilution for 1 hour at room temperature before imaging.
All lanes:
Western blot - Anti-EGFR antibody [EP38Y] (ab52894) at 1/1000 dilution
Lane 1:
A431 cell lysate at 20 µg
Lane 2:
MDA-MB-468 cell lysate at 20 µg
Lane 3:
Wild-type HeLa cell lysate at 20 µg
Lane 4:
EGFR knockout HeLa cell lysate at 20 µg
Secondary
All lanes:
Western blot - Goat anti-Rabbit IgG H&L (IRDye® 800CW) preadsorbed (ab216773) at 1/20000 dilution
Performed under reducing conditions.
Predicted band size: 134 kDa
Observed band size: 124 kDa, 134 kDa
Lanes 1 - 4: Merged signal (red and green). Green - ab52894 observed at 175 kDa. Red - loading control, ab130007 observed at 125 kDa.
ab52894 was shown to react with EGFR in wild-type HeLa. Loss of signal was observed when knockout cell line ab255385 (knockout cell lysate ab263845) was used. Wild-type and EGFR knockout samples were subjected to SDS-PAGE. ab52894 and Anti-Vinculin antibody [VIN-54] (ab130007) were incubated overnight at 4°C at 1 in 1000 dilution and 1 in 20000 dilution respectively. Blots were developed with Goat anti-Rabbit IgG H&L (IRDye® 800CW) preadsorbed (ab216773) and Goat anti-Mouse IgG H&L (IRDye® 680RD) preadsorbed (ab216776) secondary antibodies at 1 in 20000 dilution for 1 hour at room temperature before imaging.

Western blot - Anti-EGFR antibody [EP38Y] (ab52894)
Blocking and diluting buffer: 5% NFDM/TBST
All lanes:
Western blot - Anti-EGFR antibody [EP38Y] (ab52894) at 1/2000 dilution
All lanes:
HeLa (Human cervix adenocarcinoma epithelial cell) whole cell lysates at 20 µg
Secondary
All lanes:
Western blot - Goat Anti-Rabbit IgG H&L (HRP) (ab97051) at 1/20000 dilution
Predicted band size: 134 kDa
Observed band size: 175 kDa
![Western blot - Anti-EGFR antibody [EP38Y] (ab52894)](./media_14dd374e15c250e1f35919e97e7f0feb666275c65.avif?width=750&format=avif&optimize=medium)
Flow Cytometry (Intracellular) - Anti-EGFR antibody [EP38Y] (ab52894)
Intracellular Flow Cytometry analysis of A431 (Human epidermoid carcinoma epithelial cell) cells labeling EGFR with purified ab52894.
Cells were fixed with 4% paraformaldehyde (10 mins) and permeabilized with 90% methanol for 30 mins. Then incubated in 1x PBS / 10% normal goat serum to block non-specific protein-protein interactions followed by ab52894 at 1/20 dilution (red) for 30 mins. A Goat anti rabbit IgG (Alexa Fluorr® 488) secondary antibody was used at 1/2000 dilution. Isotype control - Rabbit monoclonal IgG (Black). Unlabeled control - Cell without incubation with primary antibody and secondary antibody (Blue).
