JavaScript is disabled in your browser. Please enable JavaScript to view this website.

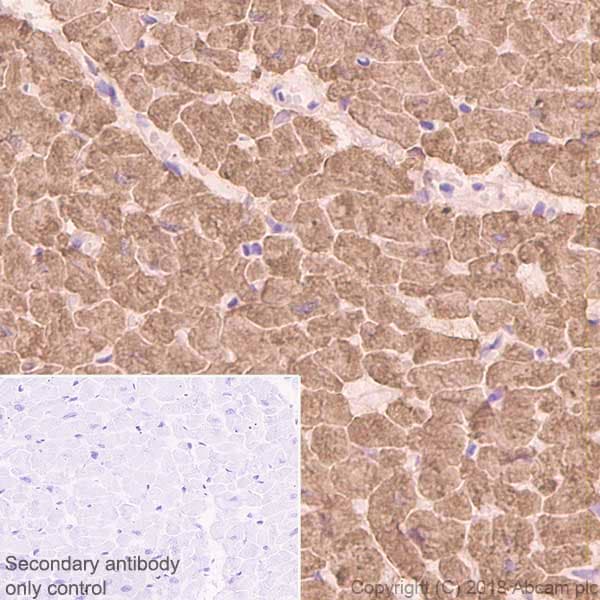
Anti-Cardiac Troponin I antibody [EP1106Y](AB52862)

$undefined

Anti-Cardiac Troponin I antibody [EP1106Y](AB52862)

Anti-Cardiac Troponin I antibody [EP1106Y](AB52862)

Anti-Cardiac Troponin I antibody [EP1106Y](AB52862)

Anti-Cardiac Troponin I antibody [EP1106Y](AB52862)

Anti-Cardiac Troponin I antibody [EP1106Y](AB52862)

Anti-Cardiac Troponin I antibody [EP1106Y](AB52862)

Anti-Cardiac Troponin I antibody [EP1106Y](AB52862)

Anti-Cardiac Troponin I antibody [EP1106Y](AB52862)

Rabbit Recombinant Monoclonal Cardiac Troponin I antibody. Suitable for IP, WB, Flow Cyt (Intra), IHC-P and reacts with Human samples. Cited in 17 publications.
Specifications
Shipped At Conditions Blue Ice
Appropriate Long term Storage Conditions Store at -20°C.
Clonality Monoclonal
Applications Flow Cyt (Intra), IHC-P, IP, WB
Species Reactivity Human
Isotype IgG