JavaScript is disabled in your browser. Please enable JavaScript to view this website.

Anti-YAP1 antibody [EP1674Y](AB52771)

$undefined

Anti-YAP1 antibody [EP1674Y](AB52771)

Anti-YAP1 antibody [EP1674Y](AB52771)

Anti-YAP1 antibody [EP1674Y](AB52771)

Anti-YAP1 antibody [EP1674Y](AB52771)

Anti-YAP1 antibody [EP1674Y](AB52771)

Anti-YAP1 antibody [EP1674Y](AB52771)

Anti-YAP1 antibody [EP1674Y](AB52771)

Anti-YAP1 antibody [EP1674Y](AB52771)

Anti-YAP1 antibody [EP1674Y](AB52771)

Anti-YAP1 antibody [EP1674Y](AB52771)

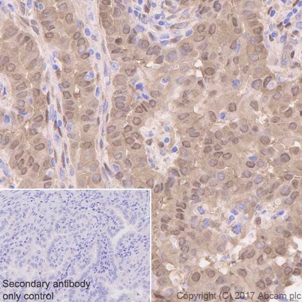
Anti-YAP1 antibody [EP1674Y] ab52771 is a rabbit monoclonal antibody that is used in YAP1 western blotting, IHC, immunofluorescence and flow cytometry. Suitable for human samples.

- Recombinant format for unrivaled batch-batch consistency: no need for same-lot requests
- Antibody clone EP1674Y has been tried and trusted by researchers since 2007 and is cited in >280 publications
- Specificity and sensitivity confirmed in IHC with multi-tissue microarray (TMA) validation
- One antibody for all your YAP1 staining, use in YAP1 western blotting, IHC, immunofluorescence and flow cytometry

New 20 ul size available
Specifications
Shipped At Conditions Blue Ice
Appropriate Long term Storage Conditions Store at -20°C.
Clonality Monoclonal
Applications Flow Cyt (Intra), ICC/IF, IHC-P, IP, WB
Species Reactivity Human
Isotype IgG