Immunohistochemistry (Formalin/PFA-fixed paraffin-embedded sections) - Anti-PD1 antibody [NAT105] (ab52587)
Immunohistochemical analysis of human large and locally advanced breast cancers staining PD1 using ab52587.
(Panel a) Low level of PD-1+ T cell infiltration.
(Panel b) high level of PD-1+ T cell infiltration. (Itu: intratumoral Str: stromal).
Image data from PMID: 27777963
This image is from PubMedId: 27777963. Kaewkangsadan V et al. (2016) Reproduced under the Creative Commons license https://creativecommons.org/licenses/by/4.0/

Flow Cytometry - Anti-PD1 antibody [NAT105] (ab52587)
Sample: Human tonsil cell extract.
Dilution: ab52587 antibody was used as 1/200 in 1x106 cells/tube.
Anti-CD4 antibody was used as 1/200 dilution.
Anti-CD8 antibody was used as 1/200 dilution.

Immunohistochemistry (Formalin/PFA-fixed paraffin-embedded sections) - Anti-PD1 antibody [NAT105] (ab52587)
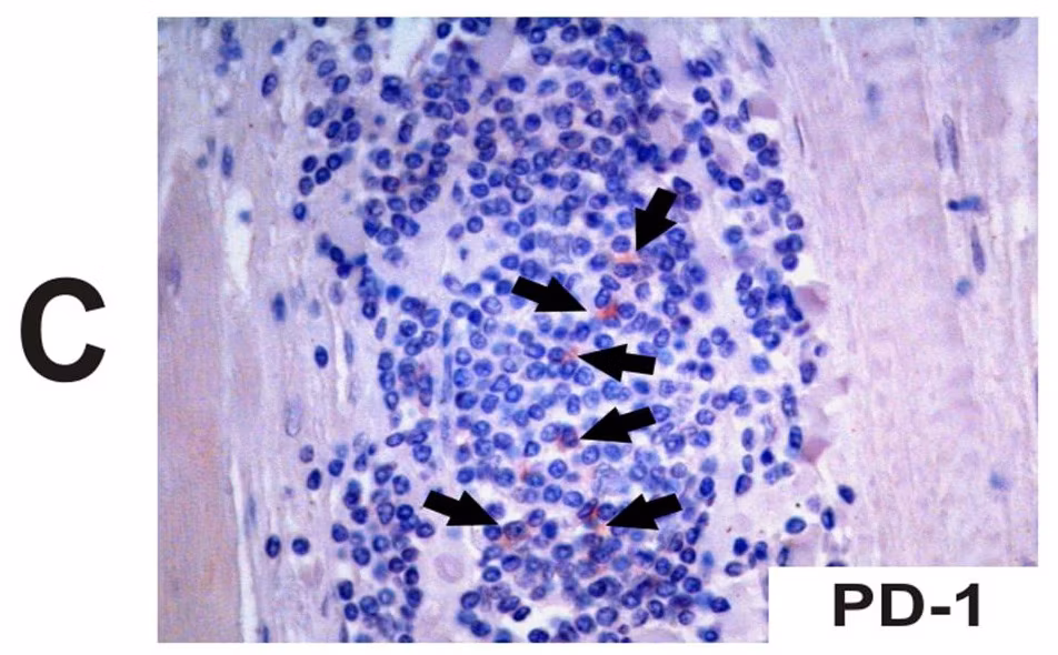
Expression of markers of T cell differentiation and degree of inflammation in the heart of chronically T. cruzi-infected subjects with severe cardiomyopathy.
A–D, left panel: representative photos of CD45RO, CD27, PD1 and CD57 expression, respectively.
Panel C shown.
Image data from PMID: 25144227
Argüello et al PLoS Negl Trop Dis. 2014 Aug 21;8(8):e2989. doi: 10.1371/journal.pntd.0002989. eCollection 2014 Aug. Fig 2. Reproduced under the Creative Commons license http://creativecommons.org/licenses/by/4.0/

Immunohistochemistry (Formalin/PFA-fixed paraffin-embedded sections) - Anti-PD1 antibody [NAT105] (ab52587)
Double immunofluorescence staining of CD3 (green) and PD1 (red) on paraffin embedded tonsil.

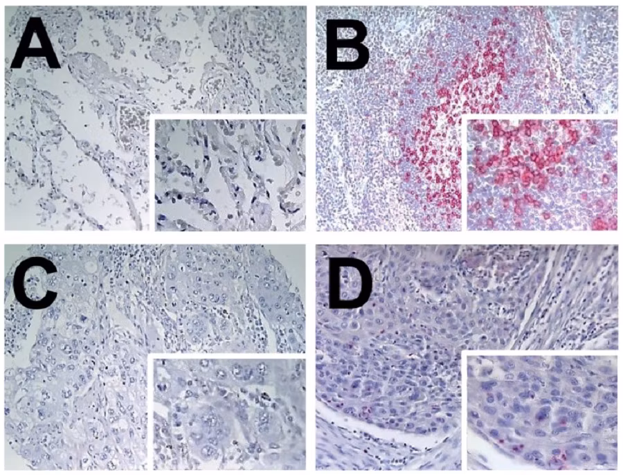
Immunohistochemistry (Formalin/PFA-fixed paraffin-embedded sections) - Anti-PD1 antibody [NAT105] (ab52587)
Representative immunohistochemical staining results for PD1 using ab52587 at a 1/50 dilution in human formalin-fixed, paraffin-embedded tissue specimens.
Panel A: Normal lung tissue, negative control;
Panel B: Tonsillar tissue, positive control;
Panel C: PD1-negative tumor infiltrating lymphocytes;
Panel D: PD1-positive tumor infiltrating lymphocytes in squamous cell carcinomas).
Image from PMID: 26313362
Schmidt et al PLoS One. 2015 Aug 27;10(8):e0136023. doi: 10.1371/journal.pone.0136023. eCollection 2015. Fig 1. Reproduced under the Creative Commons license http://creativecommons.org/licenses/by/4.0/

Immunohistochemistry (Formalin/PFA-fixed paraffin-embedded sections) - Anti-PD1 antibody [NAT105] (ab52587)
Double immunoenzymatic staining of Ki67 (brown) and PD1 (red) on paraffin embedded tonsil.

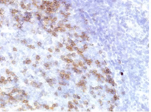
Immunohistochemistry (Frozen sections) - Anti-PD1 antibody [NAT105] (ab52587)
Human tonsil tissue stained for PD1 with ab52587 incubated for 30 mins at a 1/100 dilution in immunohistochemical analysis.
