JavaScript is disabled in your browser. Please enable JavaScript to view this website.

Anti-Lactate Dehydrogenase antibody [EP1566Y](ab52488)

$undefined

Anti-Lactate Dehydrogenase antibody [EP1566Y](ab52488)

Anti-Lactate Dehydrogenase antibody [EP1566Y](ab52488)

Anti-Lactate Dehydrogenase antibody [EP1566Y](ab52488)

Anti-Lactate Dehydrogenase antibody [EP1566Y](ab52488)

Anti-Lactate Dehydrogenase antibody [EP1566Y](ab52488)

Anti-Lactate Dehydrogenase antibody [EP1566Y](ab52488)

Anti-Lactate Dehydrogenase antibody [EP1566Y](ab52488)

Anti-Lactate Dehydrogenase antibody [EP1566Y](ab52488)

Anti-Lactate Dehydrogenase antibody [EP1566Y](ab52488)

Anti-Lactate Dehydrogenase antibody [EP1566Y](ab52488)

Anti-Lactate Dehydrogenase antibody [EP1566Y](ab52488)

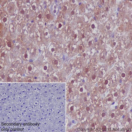
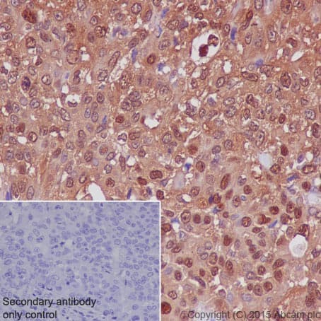
Rabbit Recombinant Monoclonal L-lactate dehydrogenase B antibody. Suitable for IHC-P, IP, WB, ICC/IF, Flow Cyt (Intra) and reacts with Mouse, Human, Rat samples. Cited in 93 publications.
Specifications
Shipped At Conditions Blue Ice
Appropriate Long term Storage Conditions Store at -20°C.
Clonality Monoclonal
Applications Flow Cyt (Intra), ICC/IF, IHC-P, IP, WB
Species Reactivity Human, Mouse, Rat
Isotype IgG