JavaScript is disabled in your browser. Please enable JavaScript to view this website.

Anti-activated Notch1 antibody(ab52301)

$undefined

Anti-activated Notch1 antibody(ab52301)

Anti-activated Notch1 antibody(ab52301)

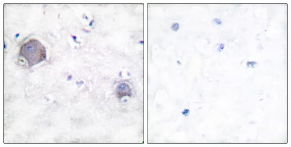
Rabbit Polyclonal Notch1 antibody. Suitable for WB, IHC-P and reacts with Mouse, Human samples. Cited in 53 publications. Immunogen corresponding to Synthetic Peptide within Human NOTCH1 aa 1700-1800.
Specifications
Shipped At Conditions Blue Ice
Appropriate Long term Storage Conditions Store at -20°C.
Clonality Polyclonal
Applications IHC-P, WB
Species Reactivity Human, Mouse
Isotype IgG