JavaScript is disabled in your browser. Please enable JavaScript to view this website.

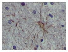
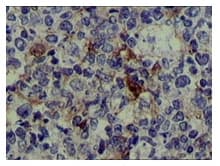
Anti-S100 alpha antibody [2C8B8](ab52271)

$undefined

Anti-S100 alpha antibody [2C8B8](ab52271)

Anti-S100 alpha antibody [2C8B8](ab52271)

Anti-S100 alpha antibody [2C8B8](ab52271)

Mouse Monoclonal S10A1 antibody. Suitable for WB, IHC-P and reacts with Recombinant fragment - Human, Human samples. Immunogen corresponding to Recombinant Fragment Protein within Human Protein S100-A1.
Specifications
Shipped At Conditions Blue Ice
Appropriate Long term Storage Conditions Store at -20°C.
Clonality Monoclonal
Applications IHC-P, WB
Species Reactivity Human
Isotype IgG1